Home Up Feedback Contents Search

Page 14   GENTAUR HEADQUARTERS  +32 1641 4407  +32 1650 9045 

 Page 1 Page 2 Page 3 Page 4 Page 5 Page 6 Page 7 Page 8 Page 9 Page 10 Page 11 Page 12 Page 13 Page 14

GENTAUR France SARL

Rue Lagrange, 9

75005 Paris, France

 01 43 25 01 50

 

GENTAUR Germany

IME, Frockenbeckstrasse 6

52074 Aachen, Germany

 +32 1658 9045

 

GENTAUR Italy

23015 Milano, Italy

 02 36 00 65 93

 

 

 

Europe

 

Česká republika Praha
+420246019719

 

Danmark

+4569918806

 

Finland Helsset
+358942419041

 

Ελλάς Αθήνα
+302111768494

 

Ireland Dublin
+35316526556

 

Luxembourg
+35220880274

 

Magyarország Budapest
+3619980547

 

Nederland
+31208080893

 

Norge Oslo
+4721031366

 

Österreich
+43720880899

 

Sverige Stockholm
+46852503438

 

Schweiz Züri
+41435006251

 

 

Northern America

 

Canada Montreal
+15149077481

 

US New York
+17185132983

 

 

Asia

 

日本
 +81 78 386 0860

Other Countries
0032 (0)16 41 44 07

 

 

Immunohistochemistry   

Antibodies & Detection Systems
Gentaur is proud to offer EPITOPE SPECIFIC RABBIT ANTIBODIES that are great for immunohistochemistry formalin-fixed, paraffin-embedded tissues with low background, high specificity, strong staining and high titer.
We also offer high sensitive detection systems that are optimized for formalin/paraffin tissues for only 10 minutes incubation for each component and are supplied both in simple, ready-to-use and concentrate formats.
These products are compatible with semi-automatic detection systems from LabVision, Dako and Manual for diagnostics and drug discovery procedures in clinical histology and research.
 

Code Product Name Quantity Price
E2364 Cadherin (pan) antibody 1.0 ml 497€
E1254 CD3 antibody 1.0 ml 484€
E2604 p27Kip1 antibody 1.0 ml 445€
E3344 PGP9.5 antibody 1.0 ml 445€
TMA-015 Anti-mouse HRP AEC Detection System 15 ml 263€
TRA-015 Anti-rabbit HRP AEC Detection System 15 ml 263€
TRD-015 Anti-rabbit HRP DAB Detection System 15 ml 263€

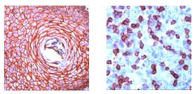
Human tonsil stained with anti-CD3, Cat #E1254

 

 

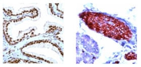
Human pancreas stained with anti-PGP9.5, Cat# E3344

Human prostate ca stained with anti-p27kip1, Cat# E2604

 

Human breast ca stained with anti-pan Cadherin, Cat #E2364

 

 

 

 

 

 

Find the full range of Clones, IHC Detection Systems and Ancillary Products on www.gentaur.com

Spectrafuge!
 

The Spectrafuge™ Mini Centrifuge is ideal for microfiltration and quick spin downs from the walls and caps of microcentrifuge tubes. Requiring less than six inches of bench space, the Spectrafuge Mini is supplied with rotors and adapters to accommodate 1.5 ml, 0.5 ml and 0.4 ml tubes as well as 0.2 ml strips and individual tubes.

 

 Features:

·     Complete with interchangeable

·     rotors for microtubes and PCR strips

·      Ideal for microfiltration and quick spins

·     Durable lid hinge

·     Compact design, small footprint

·     On/off switch

·     Five translucent lid colors available

 

The Spectrafuge™ 24D features precise digital microprocessor control. This centrifuge is loaded with features, yet has a list price low enough to make it the most economical high performance microcentrifuge.

Features:

·     Precise digital control Unique 24 x 1.5/2.0ml easy

·     access rotor Powerful, brushless drive

·     High maximum speed:

·     13,300rpm/16,300 x g

·     Display rpm or G-force

·     Exceptionally quiet and cool running

·     Optional StripSpin™ adapter

 

Code Product Name Price
C1301-230V-EU Spectrafuge Mini complete with all adaptors 299€
C2400-230V Spectrafuge 24D digital microcentrifuge 1683€
C2400-SS StripSpin Adapter for 0.2ml tubes  127€

 

Low Energy FREEZERS -85°C
 

·     Maintenance free system

·     100 mm highly efficient insulation

·     Possibility for remote alarm via phone or sms when the actual temperature is too far away from the set point.

 

Code Volume Height Width Price
LAB 11 130 litres 920 mm 720 mm 3,00 €
LAB 31 301 litres 920 mm 1300 mm 3,89 €
LAB 51 418 litres 920 mm 1700 mm 4,12 €

GentoDenZ

Density gradient medium for cell separation
 Gentaur’s GentoDenZ is just like its cousin Nycodenz a non-toxic, non-ionic universal density gradient medium. They both share a number of characteristics with their related predecessor metrizamide. However, the more stable, more inert nature of these compounds endows them with a number of favorable properties as a gradient medium. GentoDenZ is freely soluble in water and solutions up to 80% (w/v) with a density of 1.426 g/ml can be prepared.

Gradient formation:

·     In situ centrifugation (self-formed gradients)

·     Layering gradient solutions

·     Freezing and thawing

 

Separation of...

·     Mononuclear cells

·     Nucleic Acids

·     Cellular organelles

·     Nucleoproteins

·     Polysaccharides

·     Viruses and bacteria

 

Code Product Name Quanty Price
19-DENZ-50 GentoDenZ 50 g 48€
19-DENZ-500 GentoDenZ 500 g 385€

Tel: +32 16 58 90 45
[email protected]
www.gentaur.com

GENTAUR is member of the Club Francophone des Cellules Dendritiques. We will be present at the next joined Annual Congress of the CFCD and SFI the 23rd -24th  of November 2010 in Marseille, France

 

GENTAUR BVBA
Avenue de l'Armée, 68
1040 Bruxelles, Belgium
 

 

Home ] Up ]

Send mail to [email protected] with questions or comments about this web site.
Copyright © 2009 Gentaur
Last modified: 06/25/09